石灰沈着性肩腱板炎
症例
51歳 男性
左肩関節の痛みが強く、一切の挙上ができないため来院。
前々日に寝違えたと考えていたものの、痛みが増悪したため受診することとした。
動作時痛もあったが、動かさなくても痛みが強い。
検査
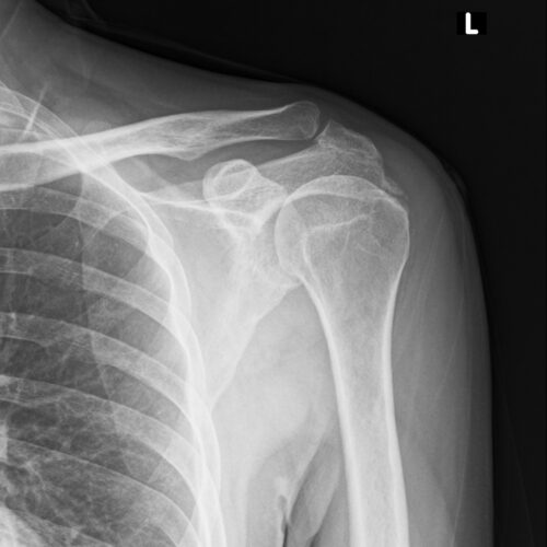
Xp:著明な石灰化所見あり
MRI:腱板部にXpの石灰化と一致する異常信号あり、周囲に炎症を示す異常信号あり
US:棘上筋腱板内にXpの石灰化と一致する高輝度陰影あり




診断
石灰化病変と異常信号、痛みの性状から切開沈着性肩腱板炎と診断
治療
肩腱板内の石灰化部位に局所麻酔薬とステロイドの注射を実施

治療後の反応
注射後、直ちに痛みの軽減を得た。
経過
治療後は痛みの軽減とともに可動域も改善した。
2週間後の診察では石灰化がほぼ消失していることを確認し、治療を終了とした。
